Navigation
About LSI
Faculty
Publications
Seminars
Education
Resources
LATEST RESEARCH
Current Position:
homepage
LATEST RESEARCH
Hai Song’s Laboratory published a paper on Cell Reports to describe the role and mechanism of LIS1/NDE1 complex in FGF signaling pathway
2018-03-21
Fangwei Wang Lab reports a mechanism linking centromeric heterochromatin to sister chromatid cohesion in mammalsMarch 01,2018
2018-03-01
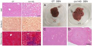
Hai Song Lab, The Journal of Biological Chemistry: Hepatic loss of Lissencephaly 1 induces fatty liver and accelerates liver tumorigenesis in mice.March 01,2018
2018-03-01
Long Zhang Lab, Nature Immunology:Tumor-derived exosomes antagonize innate antiviral immunity
2018-01-25
Long Zhang Lab,Nature Communications:Breast cancer metastasis suppressor OTUD1 deubiquitinates SMAD7
2017-12-14
Yongqun Zhu Lab,PNAS:Structural insights into the roles of the IcmS-IcmW complex in the type IVb secretion system of Legionella pneumophila
2017-12-06
Bin Zhao Lab,The Journal of Biological Chemistry:Deubiquitylase USP9X suppresses tumorigenesis by stabilizing large tumor suppressor kinase 2 (LATS2) in the Hippo pathway
2017-12-04
Chao Tong Lab,Journal of Cell Science:A novel fluorescent reporter detects plastic remodeling of mitochondria-ER contact site
2017-11-24
Fangwei Wang Lab,EMBO reports:a kinase-dependent role for Haspin in antagonizing Wapl and protecting mitotic centromere cohesion
2017-11-14
Jun Huang Lab, Nature Communications: BRCA2 antagonizes classical and alternative nonhomologous end-joining to prevent gross genomic instability
2017-11-13
per page
10
records
total
137
records
firstpage
<<previouspage
nextpage>>
endpage
PageNumber
8
/
14
jumpto
HTH华体会体育登录入口hth.com
|
开云app官方在线入口
|
乐鱼网页版
|
华体会网页版页面登录
|
米兰平台
|
华体会官方端网站登录入口
|
乐动网页版
|
开元(中国)一站式服务平台-KY.COM
|
乐鱼网页版页面
|